Kongres Akademii po Dyplomie Pediatria 2026 👉 200 zł taniej do 27.02. Spotkajmy się 17-18 kwietnia w Warszawie | Skorzystaj z oferty >
Przypadek kliniczny
Idiopatyczne nadciśnienie śródczaszkowe
dr hab. n. med. Beata Łabuz-Roszak, prof. UO1,2
lek. Robert Zdanowski2
Sandra Wcisło3
Anna Salamon3
lek. Krzysztof Kandziora4
lek. Daria Smoląg-Kostosz2
- W diagnostyce różnicowej przewlekłego bólu głowy należy zawsze rozważyć idiopatyczne nadciśnienie śródczaszkowe (IIH – idiopathic intracranial hypertension), schorzenie to może się bowiem wiązać z nieodwracalnymi zmianami w zakresie nerwów wzrokowych, co z kolei może doprowadzić do trwałego uszkodzenia narządu wzroku. W artykule zawarto opis przypadku 37-letniej pacjentki, u której rozpoznano obrzęk zastoinowy tarczy nerwu wzrokowego obuocznie oraz centralną retinopatię surowiczą oka lewego
Kobieta, lat 37, z niewielką nadwagą (wskaźnik masy ciała [BMI – body mass index] 26,5 kg/m2) została przyjęta na oddział neurologii w celach diagnostycznych z powodu trwających od ok. miesiąca bólów głowy, zaburzeń ostrości widzenia, szumów usznych oraz dwojenia. Pacjentka łączyła początek dolegliwości z wypadkiem komunikacyjnym, w trakcie którego doznała odgięciowego urazu odcinka szyjnego kręgosłupa. Przed przyjęciem na oddział była konsultowana okulistycznie. Rozpoznano obrzęk zastoinowy tarczy nerwu wzrokowego obuocznie oraz centralną retinopatię surowiczą oka lewego.
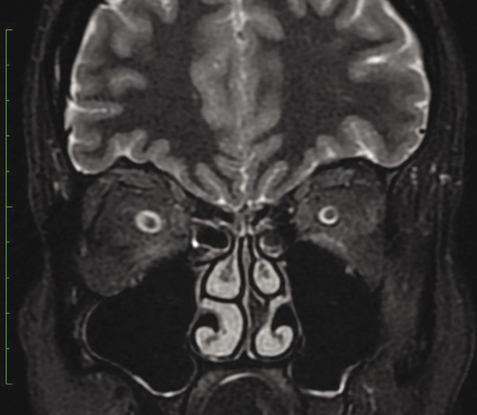
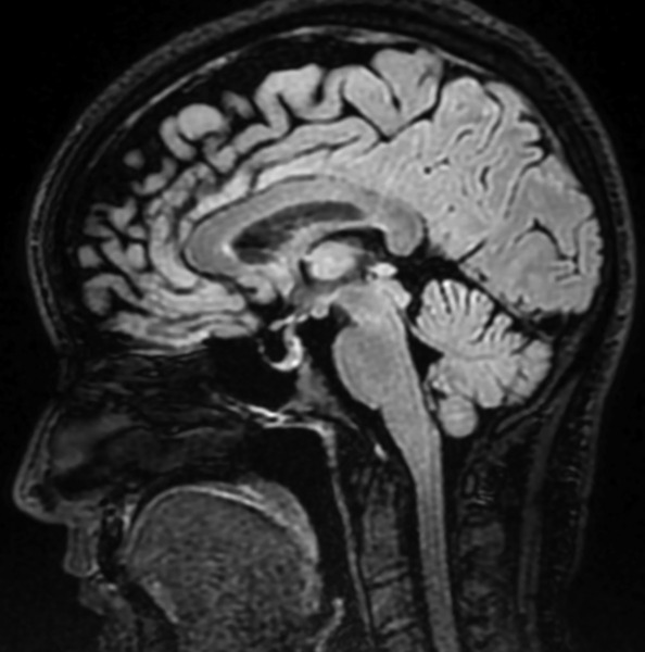
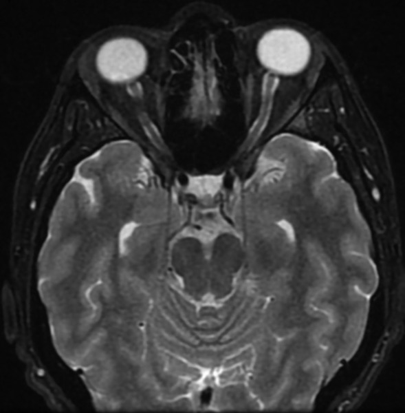
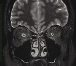
W badaniu neurologicznym wykonanym przy przyjęciu na oddział nie stwierdzono odchyleń od stanu prawidłowego, poza zgłaszanym przez pacjentkę dwojeniem przy spojrzeniu na wprost i w prawo. Wykonano rezonans magnetyczny (MR) głowy z kontrastem, który wykazał objaw częściowo pustego siodła tureckiego (ryc. 1). W MR odcinka szyjnego kręgosłupa uwidoczniono cechy umiarkowanej spondylozy szyjnej, bez zmian pourazowych. W rezonansie magnetycznym oczodołów wykazano natomiast cechy nadciśnienia śródczaszkowego pod postacią zwiększonej ilości płynu w pochewkach nerwów wzrokowych oraz obrzęku tarcz, z poszerzeniem zbiornika nadsiodłowego (ryc. 2, 3).
Rycina 1. Rezonans magnetyczny 3D T2 CUBE FLAIR w płaszczyznach strzałkowych – powiększony zbiornik nadsiodłowy
Rycina 2. Rezonans magnetyczny oczodołów STIR w płaszczyznach czołowych – zwiększona ilość płynu w pochewkach nerwów wzrokowych
Rycina 3. Rezonans magnetyczny sekwencji T2 FS płaszczyzny poprzecznej oczodołów – zwiększona ilość płynu w pochewkach nerwów wzrokowych
U chorej przeprowadzono punkcję lędźwiową, w trakcie której stwierdzono wysokie ciśnienie płynu mózgowo-rdzeniowego (PMR) – 500 mmH2O. W badaniu ogólnym PMR wykazano podwyższone stężenie białka i prawidłową cytozę. Po konsultacji neurochirurgicznej założono drenaż lędźwiowy, dzięki czemu uzyskano poprawę samopoczucia pacjentki i znaczną poprawę ostrości wzroku. Drenaż był utrzymywany przez 9 dni. Ciśnienie PMR obniżyło się do 170 mmH2O.
W kontrolnym badaniu ogólnym stężenie białka było prawidłowe. Po usunięciu drenu otwór zaszyto, a przez kolejne dni płyn ewakuował się wokół miejsca wyprowadzenia drenu przez skórę. Rozważano również założenie zastawki lędźwiowo-otrzewnowej, ostatecznie jednak zabiegu nie przeprowadzono. W leczeniu dodatkowo stosowano acetazolamid, topiramat, furosemid oraz antybiotykoterapię.
Chora została po miesiącu ponownie przyjęta na oddział w celu wykonania badań kontrolnych. Utrzymywało się niewielkie pogorszenie ostrości wzroku, natomiast ciśnienie otwarcia PMR było prawidłowe. Dopiero w trakcie ostatniej hospitalizacji pacjentka przyznała, że przez kilka miesięcy przed wypadkiem stosowała antykoncepcję hormonalną w formie plastrów, a bóle głowy pojawiły się ok. tygodnia przed wypadkiem komunikacyjnym.
Dyskusja
Idiopatyczne nadciśnienie śródczaszkowe jest stanem, w którym dochodzi do wzrostu ciśnienia PMR >250 mmH2O przy prawidłowym jego składzie oraz braku zmian strukturalnych w badaniach neuroobrazowych mózgowia1,2. Na chorobę tę zapada średnio 0,3-1,6/100 000 osób, a zapadalność znacząco rośnie w grupie otyłych kobiet – do 2,7-11,9/100 0003.
Patogeneza IIH, zwanego też rzekomym guzem mózgu, pozostaje nieznana. Wśród czynników ryzyka wymienia się m.in.:
- płeć żeńską
- otyłość
- wiek reprodukcyjny
- nadmiar witaminy A
- nagłe odstawienie glikokortykosteroidów (GKS)
- obturacyjny bezdech senny
- niedoczynność tarczycy
- zespół policystycznych jajników
- antykoncepcję hormonalną.




