Kongres Akademii po Dyplomie Pediatria 2026 👉 200 zł taniej do 27.02. Spotkajmy się 17-18 kwietnia w Warszawie | Skorzystaj z oferty >
Przypadek kliniczny
Udar niedokrwienny mózgu w przebiegu zespołu moyamoya
dr hab. n. med. Beata Łabuz-Roszak, prof. UO1
Alicja Sierakowska2
lek. Daria Smoląg-Kostosz1,3
lek. Małgorzata Wawrzyniak4
lek. Krzysztof Kandziora5
- W artykule przedstawiono przypadek 57-letniej kobiety po 2-krotnie przebytym udarze niedokrwiennym mózgu (UNM), z licznymi czynnikami ryzyka (nadciśnienie tętnicze, migotanie przedsionków, niewydolność serca, cukrzyca typu 2, dyslipidemia) oraz objawami lękowo-depresyjnymi, która została ponownie przyjęta na oddział udarowy z powodu nasilenia zaburzeń mowy oraz niedowładu prawostronnego
Kobieta, lat 57, po przebytym 2-krotnie UNM została przyjęta na oddział udarowy z powodu nasilenia zaburzeń mowy oraz niedowładu prawostronnego. Trzy dni wcześniej została wypisana z oddziału neurologicznego z rozpoznanym rozsianym naczyniopochodnym uszkodzeniem mózgu i zaburzeniami funkcji poznawczych. W wywiadzie: nadciśnienie tętnicze, napadowe migotanie przedsionków, cukrzyca typu 2, miażdżyca, zaburzenia gospodarki lipidowej oraz organiczne zaburzenia nastroju o charakterze depresyjno-lękowym.
Po przebytych uprzednio incydentach naczyniowych utrzymywały się niedowład 4-kończynowy niewielkiego stopnia z przewagą po stronie prawej oraz zaburzenia płynności mowy.
W dniu poprzedzającym przyjęcie na oddział (godziny poranne) zaobserwowano nasilenie zaburzeń mowy, a także niedowładu prawej kończyny górnej.
Przy przyjęciu chora pozostawała w stanie ogólnym dość dobrym. W badaniu neurologicznym stwierdzono: afazję ruchową znacznego stopnia, uszkodzenie nerwu VII prawego o charakterze ośrodkowym, niedowład kończyny górnej prawej (II stopnia wg Lovetta) i kończyny dolnej prawej (IV stopnia wg Lovetta), dyskretne osłabienie siły mięśniowej kończyn lewych, oprócz tego niedowidzenie połowicze prawostronne.
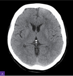
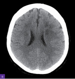
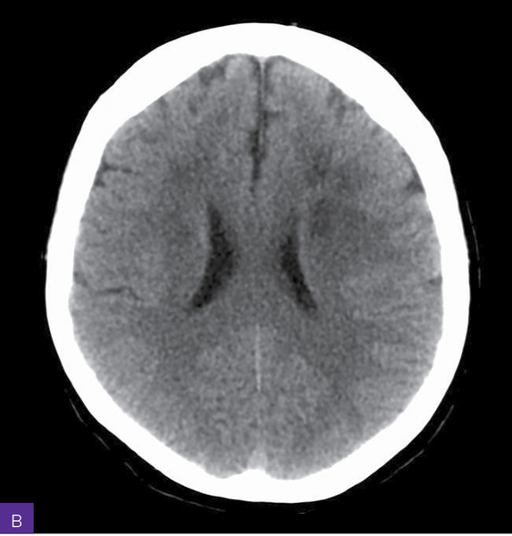
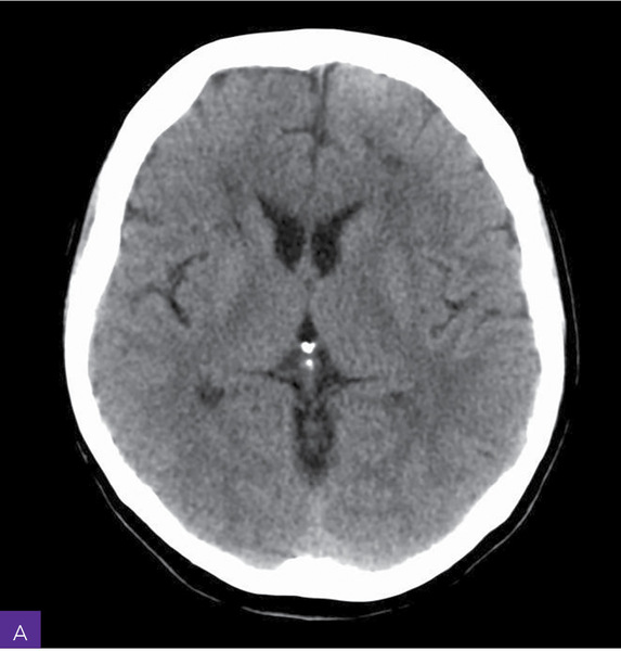
Rycina 1A, B. Tomografia komputerowa mózgu. Widoczne nasilone, rozsiane ogniska istoty białej głębokiej obu płatów czołowych o charakterze naczyniopochodnym, znacznie słabiej wyrażone zmiany o podobnym charakterze okołokomorowo i w lewej torebce zewnętrznej
Tomografia komputerowa (TK) głowy wykazała na pograniczu zakrętu czołowego górnego i przedśrodkowego lewej półkuli mózgu niewielki obszar ostrego zawału z unaczynienia gałęzi przeszywających powierzchownych lewej tętnicy środkowej mózgu. W porównaniu z poprzednim badaniem obrazowym głowy pojawiły się nasilone rozsiane ogniska istoty białej głębokiej obu płatów czołowych o charakterze naczyniopochodnym, znacznie słabiej wyrażone zmiany o podobnym charakterze okołokomorowo i w lewej torebce zewnętrznej (ryc. 1).
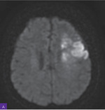
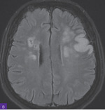
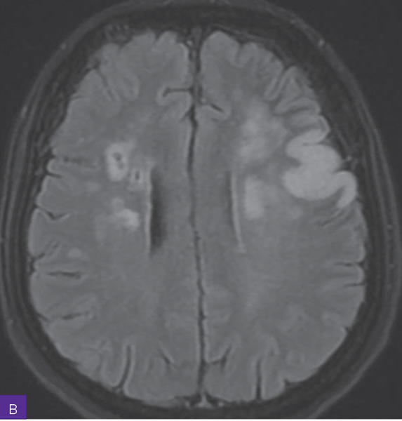
Rycina 2A, B. Rezonans magnetyczny głowy. Widoczne rozsiane ogniska i nieco większe obszary niedokrwienne w fazie ostrej z zakresu unaczynienia gałęzi tętnicy lewej środkowej mózgu, a także rozsiane zmiany wcześniej przebytych ognisk niedokrwiennych z zakresu unaczynienia tętnicy prawej środkowej mózgu
Diagnostykę poszerzono o badanie rezonansu magnetycznego (MR) w protokole udarowym. W badaniu opisano rozsiane ogniska i nieco większe obszary niedokrwienne w fazie ostrej z zakresu unaczynienia gałęzi tętnicy lewej środkowej mózgu, a także rozsiane zmiany wcześniej przebytych ognisk niedokrwiennych z zakresu unaczynienia prawej tętnicy środkowej mózgu (ryc. 2).
Badanie echokardiograficzne (ECHO) wypadło prawidłowo (frakcja wyrzutowa [EF – ejection fraction] 65%), dopplerowskie tętnic domózgowych zaś wykazało łagodne zmiany miażdżycowe w miejscu podziału obu tętnic szyjnych wspólnych i w odcinkach proksymalnych obu tętnic szyjnych wewnętrznych.
Rycina 3. Tomografia komputerowa naczyń mózgowych (angio-TK). Widoczne obustronne krytyczne zwężenie lub niedrożność w początkowych odcinkach przedniej i środkowej tętnicy mózgu, z lepiej rozwiniętym krążeniem obocznym prawej półkuli mózgu
Wykonano TK naczyń domózgowych i mózgu (angio-TK), w której stwierdzono zwężenie obu tętnic szyjnych wewnętrznych, aż do całkowitej amputacji przepływu w odcinkach C7. Co więcej, uwidoczniono obustronne krytyczne zwężenie lub niedrożność w początkowych odcinkach przedniej i środkowej tętnicy mózgu, z lepiej rozwiniętym krążeniem obocznym prawej półkuli mózgu (ryc. 3).







