IV edycja Kongresu HPV już 12-13 czerwca! Poznaj najnowsze trendy w profilaktyce, diagnostyce i leczeniu raka szyjki macicy i innych schorzeń związanych z HPV | Sprawdź >
Nie przejdzie bez echa
Serowate zwapnienie pierścienia mitralnego – rzadka patologia o złowrogim obrazie
dr hab. n. med. Beata Zaborska1
dr n. med. Katarzyna Dudzińska-Szczerba1
dr n. med. Dorota Piotrowska-Kownacka2
prof. dr hab. n. med. Olga Trojnarska3
- Obraz kliniczny serowatego zwapnienia pierścienia mitralnego
- Diagnostyka różnicowa i możliwe powikłania
- Opis przypadku z własnej praktyki
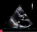
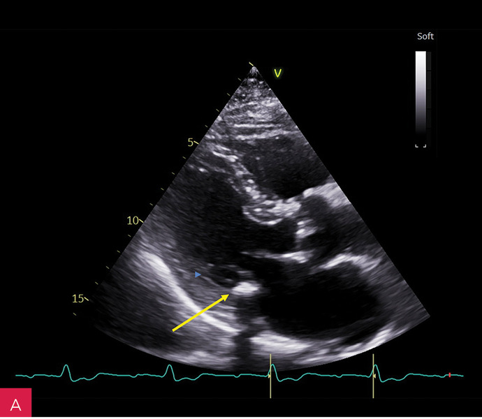
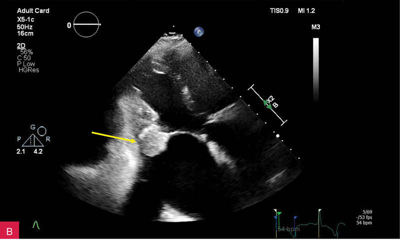
Rycina 1A, B. Zwapnienie w pierścieniu mitralnym (MAC) u podstawy tylnego płatka mitralnego w projekcji przymostkowej w osi długiej LAX (A) i w osi krótkiej SAX (B)
Zwapnienie pierścienia zastawki mitralnej (MAC – mitral annular calcification) stanowi następstwo przewlekłych zmian degeneracyjnych i jest dość często spotykane u osób w starszym wieku (ryc. 1). Serowate zwapnienie pierścienia mitralnego (CCMA – caseous calcification of the mitral annulus) to rzadki, często niedostatecznie rozpoznawany wariant MAC. CCMA stanowi ok. 0,6% wszystkich przypadków MAC, występuje rzadziej niż w 0,1% populacji ogólnej. Częściej dotyka starszych kobiet, szczególnie z nadciśnieniem tętniczym, przewlekłą chorobą nerek lub zaburzeniami gospodarki wapniowo-fosforanowej1,2. Zmiana zazwyczaj obejmuje tylny pierścień zastawki mitralnej i składa się z uwapnionej otoczki oraz wnętrza wypełnionego mieszaniną wapnia, kwasów tłuszczowych i cholesterolu, przypominającą konsystencją pastę do zębów3,4. CCMA może osiągać duże rozmiary, szerząc się w kierunku tylnego płatka mitralnego oraz mięśnia lewej komory w zakresie ściany dolno-bocznej i dolnej.
Większość przypadków jest bezobjawowa i bywa wykrywana przypadkowo podczas echokardiografii lub innych badań obrazowych. Jeśli występują objawy, mogą one obejmować: zaburzenia przewodzenia i zaburzenia rytmu, w tym migotanie przedsionków, zwężenie lub niedomykalność zastawki mitralnej, a także incydenty zatorowe, takie jak udar mózgu, niedrożność tętnic siatkówki bądź ostry zespół wieńcowy1,2,4-6. Powikłania te wynikają z lokalizacji CCMA w pobliżu układu bodźcoprzewodzącego, „naciekania” zastawki mitralnej przez masy guza oraz (na szczęście rzadko) pęknięcia uwapnionej otoczki i wydostania się mas guza do jam lewej strony serca. Echokardiografia jest metodą diagnostyczną pierwszego wyboru, jednak w wielu przypadkach istnieje konieczność zastosowania diagnostyki multimodalnej – tomografii komputerowej lub rezonansu magnetycznego (CMR – cardiac magnetic resonance), aby odróżnić CCMA od guzów serca, ropni lub wegetacji1,3.
Nie ma jednoznacznych wytycznych dotyczących optymalnego postępowania. Decyzje terapeutyczne powinny być podejmowane indywidualnie, w zależności od objawów, ryzyka powikłań i wyników badań obrazowych. Postępowanie zachowawcze preferuje się u pacjentów bezobjawowych lub z minimalnymi objawami, ponieważ rokowanie jest na ogół dobre1-4. Zabieg chirurgiczny jest zarezerwowany dla przypadków z ciężką dysfunkcją zastawki mitralnej, powikłaniami zatorowymi lub w sytuacjach niepewności diagnostycznej1,7,8.
Poniżej przedstawiamy przypadek pacjentki z CCMA.
Opis przypadku
Pacjentka 82-letnia z wywiadem utrwalonego migotania przedsionków, nadciśnienia tętniczego, stabilnego zespołu wieńcowego, hiperlipidemii, cukrzycy typu 2 kontrolowanej lekami doustnymi oraz przewlekłej choroby nerek została przyjęta na oddział kardiologiczny z powodu objawowej bradykardii z towarzyszącym zaostrzeniem niewydolności serca (NYHA III).
W badaniu przedmiotowym stwierdzono szmer skurczowy nad koniuszkiem, trzeszczenia nad polami płucnymi oraz obrzęki podudzi. W zapisie elektrokardiograficznym zarejestrowano migotanie przedsionków ze średnią częstością rytmu komór 40/min. W badaniach laboratoryjnych poza podwyższonym stężeniem N-końcowego fragmentu propeptydu natriuretycznego typu B (NT-proBNP – N-terminal pro-B-type natriuretic peptide – 1437,0 pg/ml) nie stwierdzono istotnych nieprawidłowości. W badaniu rentgenowskim klatki piersiowej uwidoczniono znaczne poszerzenie sylwetki serca (CTR – cardiothoracic ratio – 0,69) oraz dobrze wysycone zacienienie o wielkości przekraczającej 20 × 40 mm widoczne w rzucie serca.
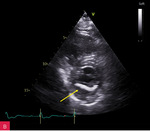
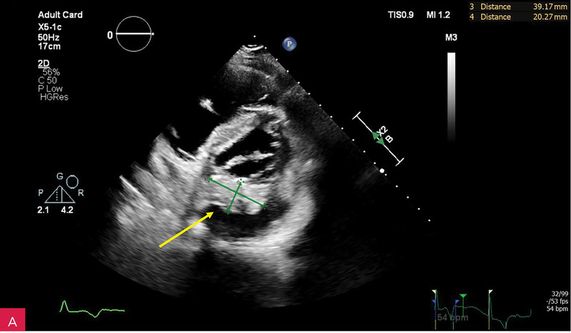
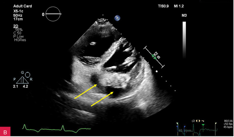
Rycina 2A, B. Zmiana u podstawy tylnego płatka mitralnego, obejmująca jego nasadę, a także fragment mięśnia ściany dolno-bocznej lewej komory w projekcji przymostkowej w osi długiej LAX (A) oraz w projekcji zmodyfikowanej, w której lepiej uwidoczniono hiperechogeniczną uwapnioną otoczkę zmiany oraz powodowany przez nią cień akustyczny (B)
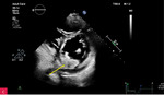
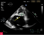
Rycina 3A-C. Badanie echokardiograficzne przezklatkowe (TTE) w osi krótkiej przymostkowej na różnych poziomach – płatków zastawki mitralnej (A), strun ścięgnistych (B) i mięśni brodawkowatych (C) – obrazuje owalną zmianę guzowatą, o dużych rozmiarach i nierównej echogeniczności, z widocznym wzmocnieniem brzeżnym
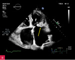
Rycina 4A, B. Badanie echokardiograficzne przezklatkowe trójwymiarowe (3D TTE) – widok od strony lewej komory zastawki mitralnej i guzowatej zmiany o nierównej powierzchni (A) wraz z prezentacją zmiany w przekrojach wykonanych na podstawie 3D TTE (B)
Rycina 5A-C. Badanie echokardiograficzne przezklatkowe dwuwymiarowe (2D TTE) w projekcji koniuszkowej czterojamowej. Znacznie powiększone przedsionki i niewielkie wymiary komór serca. W zależności od płaszczyzny przekroju w kierunku przód–tył (A, B, C) zmienia się uwidocznienie zmiany guzowatej – CCMA (serowate zwapnienie pierścienia mitralnego). Jest ona w pełni widoczna w zmodyfikowanej projekcji obrazującej struktury położone jak najdalej ku tyłowi serca (C)

















