Kongres Akademii po Dyplomie Pediatria 2026 👉 200 zł taniej do 23:59! Spotkajmy się 17-18 kwietnia w Warszawie | Skorzystaj z oferty >
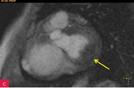
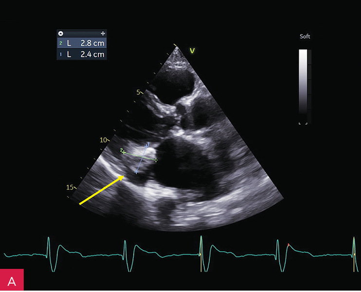
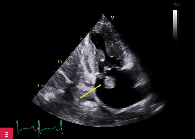
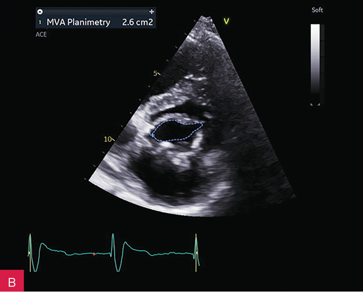
W badaniu echokardiograficznym przezklatkowym (TTE – transthoracic echocardiography) uwidoczniono guzowatą zmianę o wymiarach 37 × 28 × 25 mm u podstawy tylnego płatka zastawki mitralnej i w obrębie ściany dolno-bocznej lewej komory, o nierównej powierzchni od strony komory, nieznacznej ruchomości zgodnej z ruchem serca i niejednorodnej echostrukturze ze zwapnieniami (ryc. 2-5). Powodowała ona niewielkie ograniczenie ruchomości płatków zastawki mitralnej z utrudnieniem napełniania komory i parametrami małej stenozy (ryc. 6). Stwierdzono ponadto małą niedomykalność mitralną (ryc. 6), dużą niedomykalność trójdzielną, znacznie powiększone obydwa przedsionki oraz w niewielkim stopniu prawą komorę w zakresie drogi odpływu, a także niewielki przerost ścian lewej komory. W badaniu nie stwierdzono wyraźnych odcinkowych zaburzeń kurczliwości lewej komory. Globalna funkcja skurczowa lewej i prawej komory była zachowana w dolnych granicach normy: frakcja wyrzutowa lewej komory (LVEF – left ventricular ejection fraction) 50%, skurczowe przemieszczenie płaszczyzny pierścienia trójdzielnego (TAPSE – tricuspid annular plane systolic excursion) 18 mm. Stwierdzono cechy dysfunkcji rozkurczowej lewej komory z cechami wysokiego ciśnienia napełniania. Zarejestrowano również małą ilość płynu w osierdziu (do 6 mm za ścianą boczną lewej komory).
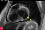
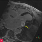
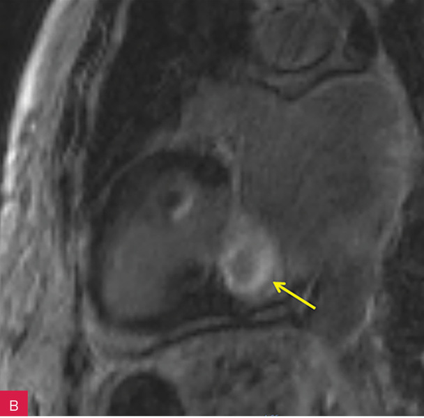
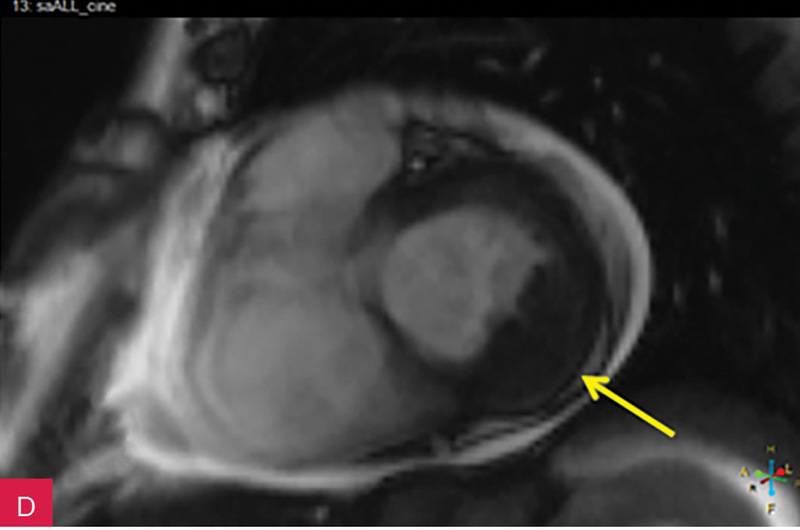
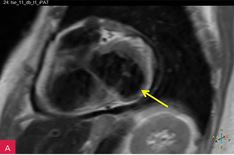
Rycina 7A-D. Obrazy rezonansu magnetycznego w osi krótkiej na wysokości pierścienia mitralnego: czarnej krwi T1-zależne TSE (A); czarnej krwi T2-zależne HASTE (B); T1-zależne echa gradientowego dynamicznie podczas podawania środka kontrastowego (C); sekwencja SSFP, pojedynczy obraz w osi krótkiej (D). W dolno-bocznej części pierścienia mitralnego od strony światła lewej komory zmiana (strzałki) niskosygnałowa we wszystkich ważeniach sygnału
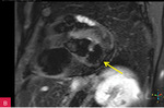
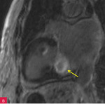
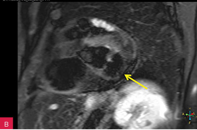
Rycina 8A, B. Obrazy rezonansu magnetycznego w projekcji pięciojamowej (A) i dwujamowej (B) z późnym wzmocnieniem kontrastowym – widoczna zmiana ulegająca brzeżnemu wzmocnieniu kontrastowemu. Całość obrazu wskazuje na serowate zwapnienie pierścienia mitralnego (CCMA)
W celu weryfikacji zmiany i oceny charakterystyki tkanki wykonano CMR,
w którym stwierdzono w dolno-bocznej części pierścienia mitralnego od strony światła lewej komory zmianę odpowiadającą morfologicznie CCMA, obejmującą 7,3 cm obwodu pierścienia mitralnego, o grubości w osi krótkiej do 25 mm, w osi długiej do 21 mm; zmiana ulegała brzeżnemu wzmocnieniu kontrastowemu i powodowała ograniczenie ruchomości tylnego płatka zastawki mitralnej, obejmowała struny ścięgniste mięśnia brodawkowatego tylno-przyśrodkowego. Ponadto uwidoczniono znacznie powiększone przedsionki z istotnym włóknieniem – jak w restrykcji (ryc. 7, 8).
W przebiegu diagnostyki zawrotów głowy wykonano próbę pionizacyjną, która nie wykazała nieprawidłowości. Badania rozszerzono o tomografię komputerową ośrodkowego układu nerwowego, ujawniającą różnoczasowe zmiany o charakterze naczyniopochodnym, oraz ultrasonografię tętnic szyjnych, w której nie stwierdzono zmian istotnych hemodynamicznie.
W trakcie hospitalizacji odstawiono przewlekle przyjmowany β-adrenolityk, intensyfikowano leczenie krążeniowe – z poprawą kliniczną. Z uwagi na utrzymującą się bradykardię w obrębie utrwalonego migotania przedsionków oraz wynikające z niej objawy w postaci obniżenia tolerancji wysiłku i zawrotów głowy pacjentkę zakwalifikowano do wszczepienia układu stymulującego serce. Zabieg oraz dalszy okres obserwacji przebiegły bez powikłań.
Rycina 9A-C. Kontrolne badanie echokardiograficzne przezklatkowe (TTE) po 5 miesiącach od rozpoznania uwidoczniło porównywalne wymiary zmiany guzowatej jak w badaniu wyjściowym (A), brak progresji zwężenia zastawki mitralnej (B), charakterystyczny obraz uwapnionej otoczki z bezechowym rdzeniem wewnętrznym (C)
Biorąc pod uwagę stabilny obraz kliniczny po zastosowaniu leczenia farmakologicznego i zabezpieczeniu chorej stałą stymulacją serca oraz brak istotnej wady zastawki mitralnej, pacjentkę zakwalifikowano do leczenia zachowawczego i obserwacji z regularną oceną echokardiograficzną (ryc. 9).
Omówienie
Rycina 10A, B. Wybrane patologie, które należy uwzględnić w diagnostyce serowatego zwapnienia pierścienia mitralnego (CCMA): śluzak w lewym przedsionku (A), wegetacja zastawki mitralnej (B)
W przedstawionym przypadku uwagę zwracała uwidoczniona w TTE zmiana guzowata w obrębie pierścienia mitralnego i ściany dolno-bocznej lewej komory u pacjentki z utrwalonym migotaniem przedsionków z wolną częstością rytmu komór oraz cechami zaostrzenia niewydolności serca. W diagnostyce różnicowej CCMA należy uwzględnić:
- Typowe MAC – w TTE widoczne jako struktura hiperechogeniczna zlokalizowana na styku bruzdy przedsionkowo-komorowej i tylnego płatka zastawki mitralnej (ryc. 1). CCMA, będące wariantem MAC, charakteryzuje się natomiast echokardiograficznie masywną strukturą z hiperechogeniczną otoczką zewnętrzną i bezechowym rdzeniem wewnętrznym, który nie wykazuje przepływu w obrazowaniu kolorowym dopplerem9.
- Nowotwory pierwotne oraz przerzuty nowotworowe – CCMA może przypominać łagodne lub złośliwe guzy serca (ze względu na wygląd przypominający masę, szczególnie w TTE)1,3,10,11. Śluzak to najczęstszy guz pierwotny, zazwyczaj ruchomy, typowo zlokalizowany w lewym przedsionku i uszypułowany w okolicy dołu owalnego przegrody międzyprzedsionkowej (ryc. 10). Zwapnienia, niekiedy widoczne w obrębie śluzaka, nie mają regularnego układu otoczki, charakterystycznego dla CCMA. Ponadto, w porównaniu z CCMA, śluzak jest silnie unaczyniony1,12. Włókniak brodawczakowaty zwykle jest widoczny w badaniu echokardiograficznym jako kulista, ruchoma zmiana o niewielkich rozmiarach (ok. 10 mm), typowo obejmująca zastawki lewej strony serca13. Do innych rzadkich nowotworów należą naczyniak krwionośny zastawki mitralnej oraz zmiany złośliwe, takie jak mięśniakomięsak gładkokomórkowy. W naczyniakach krwionośnych obszary bezechowe sięgają aż do obwodu masy i nie stwierdza się zwapnień. Jednakże leiomyosarcoma rzadko wykazuje obszary bezechowe związane z martwicą oraz zwapnienia1. Pełne rozpoznanie nie może być oparte jedynie na stwierdzeniu typowych cech w badaniu echokardiograficznym. Diagnostyka musi zostać poszerzona o CMR i/lub tomografię komputerową, a niekiedy o biopsję guza.
- Skrzeplina lewego przedsionka lub komory – zwykle bez widocznych zwapnień, ruchoma. CCMA jest natomiast unieruchomione i zwapniałe1,11.
- Infekcyjne zapalenie wsierdzia:
- Ropień zastawki mitralnej/pierścienia zastawki mitralnej – towarzyszą mu z reguły objawy i podwyższone parametry stanu zapalnego oraz bakteriemia. Obraz echokardiograficzny wykazuje jednorodną echogenicznie masę, z możliwym przepływem w kolorowym dopplerze (sugerującym komunikację z komorami serca) oraz otaczający naciek zapalny. Bezechowy środek CCMA może imitować ropień okołopierścieniowy, szczególnie u pacjentów z czynnikami ryzyka infekcji. CCMA jest natomiast zmianą dobrze odgraniczoną, bez widocznego przepływu w opcji kolorowego dopplera, a pacjenci nie mają cech infekcji1,4,10-12.
- Wegetacja – amorficzna, ruchoma masa związana z płatkiem lub pierścieniem zastawki, często prowadząca do jej dysfunkcji (ryc. 10), z dodatnimi wynikami posiewów krwi oraz objawami ogólnoustrojowymi. CCMA jest dobrze odgraniczone, nieruchome i jałowe1,11.
- Pseudotętniak pierścienia mitralnego – może wystąpić po operacji lub infekcyjnym zapaleniu wsierdzia; wykazuje komunikację z lewym przedsionkiem/komorą; z obecnym przepływem dopplerowskim. CCMA nie wykazuje komunikacji z jamami serca14.
- Zwapniały guz amorficzny (CAT – calcified amorphous tumor) – guz uwapniony, zwykle położony wewnątrz jam serca, może współwystępować z MAC, szczególnie u pacjentów ze schyłkową niewydolnością nerek15.
Szczegółowy wywiad oraz wyniki badań laboratoryjnych mają istotne znaczenie w diagnostyce różnicowej. Pacjenci z CCMA to zazwyczaj osoby starsze, częściej kobiety, z nadciśnieniem tętniczym, miażdżycą, przewlekłą chorobą nerek lub innymi zaburzeniami metabolicznymi prowadzącymi do nieprawidłowości w gospodarce wapniowo-fosforanowej1. W wywiadzie zwykle nie stwierdza się gorączki, objawów infekcji ani przebytych ostatnio zabiegów kardiochirurgicznych. Przedstawiony przez nas przypadek kliniczny odpowiadał tej typowej charakterystyce osoby z CCMA. Ostateczne rozpoznanie umożliwiają jednak badania obrazowe – echokardiografia, tomografia komputerowa i CMR – które stanowią metody komplementarne, pozwalające na szczegółową ocenę charakteru zmiany12.
U opisywanej pacjentki zmianę wykryto w badaniu echokardiograficznym, a jej charakter potwierdzono w CMR. Nie można wykluczyć związku obserwowanych u tej chorej zaburzeń rytmu i przewodzenia z obecnością CCMA. Niemniej biorąc pod uwagę współistniejące czynniki ryzyka – takie jak nadciśnienie tętnicze, miażdżyca, choroba wieńcowa oraz cukrzyca – należy uznać, że równie prawdopodobny jest ich złożony patomechanizm. Wystąpienie cech klinicznych niewydolności serca przy przyjęciu do szpitala nie wydaje się związane z obecnością CCMA, ponieważ w tym przypadku nie doszło do rozwoju istotnej dysfunkcji zastawki mitralnej jako potencjalnej przyczyny niewydolności serca. Całość obrazu przemawia za rozpoznaniem dysfunkcji rozkurczowej lewej komory, a zatem niewydolności serca z zachowaną frakcją wyrzutową. Ze względu na poprawę stanu ogólnego pacjentki w wyniku zastosowanego leczenia oraz typowy obraz CCMA w CMR nie kwalifikowano jej do leczenia chirurgicznego, a w 6-miesięcznej obserwacji nie stwierdzono echokardiograficznych ani klinicznych cech progresji zmiany.
Podsumowanie
- CCMA powinno być rozważane w diagnostyce guzowatych zmian w okolicy pierścienia mitralnego, zwłaszcza u osób starszych z czynnikami ryzyka chorób sercowo-naczyniowych.
- Echokardiografia, tomografia komputerowa i rezonans magnetyczny stanowią komplementarne metody diagnostyczne pozwalające na dokładną ocenę charakteru zmiany.
- Leczenie zachowawcze jest uzasadnione u pacjentów bez istotnej hemodynamicznie wady zastawki i bez powikłań zatorowych.










