IV edycja Kongresu HPV już 12-13 czerwca! Poznaj najnowsze trendy w profilaktyce, diagnostyce i leczeniu raka szyjki macicy i innych schorzeń związanych z HPV | Sprawdź >
Nefrodiabetologia
Cukrzyca w ogniu infekcji, czyli wybuchowe połączenie prowadzące do sepsy
lek. Mateusz Kaliszczuk
mgr farm. Marta Wilczak
- W artykule zaprezentowano przypadek kliniczny młodej kobiety z cukrzycą typu 1, u której niepozorna infekcja dróg moczowych przerodziła się w stan zagrożenia życia
Zakażenie układu moczowego (ZUM) w większości przypadków ma charakter niepowikłany i dobrze odpowiada na leczenie empiryczne. Niestety, u pacjentów z grup ryzyka infekcja może przybrać postać powikłaną, która nierzadko prowadzi do urosepsy, ropni okołonerkowych bądź niewydolności wielonarządowej. Cukrzyca (DM – diabetes mellitus) istotnie zwiększa podatność na ZUM w wyniku zaburzenia odporności humoralnej i komórkowej, upośledzenia funkcji neutrofilów oraz obecności glukozurii sprzyjającej wzrostowi bakterii w drogach moczowych.
Opis przypadku
Kobieta, lat 24, została przetransportowana na szpitalny oddział ratunkowy (SOR) przez zespół ratownictwa medycznego (ZRM) z powodu bardzo silnych dolegliwości bólowych jamy brzusznej oraz dyzurycznych, a także wysokiej gorączki (do 40°C). Z relacji chorej wynikało, że objawy pojawiły się mniej więcej tydzień wcześniej, a następnie stopniowo przybierały na sile. Do momentu pojawienia się ZRM pacjentka nie skorzystała z konsultacji lekarskiej, mając nadzieję na samoistne ustąpienie dolegliwości. W pogłębionym wywiadzie lekarskim uzyskano informację, że od młodości choruje na cukrzycę typu 1 (DM1), leczoną z wykorzystaniem osobistej pompy insulinowej.
W karcie triażu niepokój budziła tachykardia (tętno 120/min, miarowe), najprawdopodobniej wtórna do gorączki (w chwili zgłoszenia na SOR temperatura ciała 38,5°C). W badaniu lekarskim uwagę zwracały kliniczne cechy odwodnienia (suche język i śluzówki, dodatni objaw fałdu skórnego). Brzuch pozostawał miękki, bolesny palpacyjnie w podbrzuszu. Obserwowano dodatni objaw Goldflama po lewej stronie. Nie stwierdzono obecności objawów otrzewnowych.
W ramach SOR przeprowadzono diagnostykę laboratoryjną oraz obrazową. W wynikach badań laboratoryjnych (tab. 1) zaobserwowano podwyższone wartości wykładników stanu zapalnego, ciężką niedokrwistość oraz kwasicę metaboliczną. Co więcej, uwagę zwracały hiperglikemia oraz wysokie stężenie hemoglobiny glikowanej (HbA1c), a w badaniu ogólnym moczu – glukozuria, liczne bakterie i leukocyty oraz obecność ciał ketonowych.
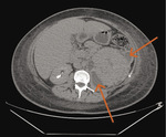
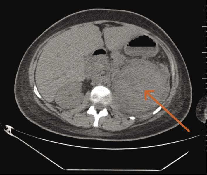
W jednofazowej tomografii komputerowej (TK) lewa nerka okazała się znacznie powiększona (o długości 161 mm), z naciekiem otaczającej tkanki tłuszczowej (ryc. 1). Wysunięto podejrzenie ostrego odmiedniczkowego zapalenia nerek (OOZN). W momencie wykluczenia chirurgicznej etiologii prezentowanych dolegliwości chorą zakwalifikowano do hospitalizacji na oddziale o profilu chorób wewnętrznych.
Rycina 1. Obraz jednofazowej tomografii komputerowej jamy brzusznej – badanie przeprowadzone w ramach szpitalnego oddziału ratunkowego
Zastosowane leczenie
Podejrzewając uogólnioną reakcję zapalną z punktem wyjścia z dróg moczowych, podjęto decyzję o pobraniu posiewów tlenowych i beztlenowych krwi, a także posiewu tlenowego moczu. W związku z ciężką niedokrwistością oznaczono grupę krwi, zlecono próbę zgodności serologicznej i zamówiono krew do pilnej transfuzji.
W pierwszej dobie hospitalizacji wdrożono szerokowidmową antybiotykoterapię empiryczną (ceftriakson w połączeniu z cyprofloksacyną), ciągły dożylny wlew z insuliny, intensywną płynoterapię, suplementację potasu, leczenie przeciwbólowe, przetoczono też preparaty krwiopochodne. Uzyskano stopniową poprawę stanu ogólnego pacjentki.
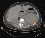
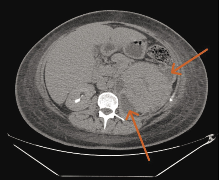
W trzeciej dobie pobytu na oddziale diagnostykę poszerzono o 4-fazową TK jamy brzusznej. Na jej podstawie stwierdzono utrzymujące się powiększenie lewej nerki, bez widocznego zróżnicowania miąższu, z prawdopodobnymi obszarami rozpadu (ryc. 2). Nerka otoczona była płynem oraz pogrubiałymi blaszkami powięzi. Dostrzeżono ponadto zbiornik płynowy wielkości 33 × 17 × 48 mm w obrębie powiększonego lewego mięśnia lędźwiowego większego. Podobną zmianę o charakterze patologicznego zbiornika płynowego stwierdzono w okolicy zgięcia śledzionowego kątnicy. W posiewach krwi i moczu zaobserwowano wzrost bakterii Escherichia coli – szczep pozostawał wrażliwy na ceftriakson (dotychczasową antybiotykoterapię utrzymano).
Rycina 2. Obraz 4-fazowej tomografii komputerowej jamy brzusznej – badanie przeprowadzone w trzeciej dobie hospitalizacji
W piątej dobie hospitalizacji stwierdzono w kontrolnej gazometrii krwi (tab. 2) utrzymującą się w dalszym ciągu kwasicę oraz niedobór wodorowęglanów. Podjęto decyzję o modyfikacji płynoterapii, dołączono do leczenia mleczan Ringera (substrat do produkcji cytrynianiu dający możliwość syntezy wodorowęglanów przez hepatocyty).


