IV edycja Kongresu HPV już 12-13 czerwca! Poznaj najnowsze trendy w profilaktyce, diagnostyce i leczeniu raka szyjki macicy i innych schorzeń związanych z HPV | Sprawdź >
Pomimo początkowego spadku wartości wykładników stanu zapalnego w dziewiątej dobie leczenia ponownie pojawiła się tendencja wzrostowa (ryc. 3 i 4). Pobrano kontrolny zestaw posiewów. Za pomocą badania ultrasonograficznego (USG) jamy brzusznej uzyskano obraz lewej nerki: wymiary: 20 × 10,5 × 12 cm, zatarte zarysy, całkowicie zatarta granica korowo-rdzeniowa. Układ kielichowo-miedniczkowy nieposzerzony. Nie uwidoczniono zmian ogniskowych mogących odpowiadać ropniom. Chorą konsultowano urologicznie – bez wskazań do leczenia operacyjnego. Zalecono modyfikację antybiotykoterapii. Włączono dożylny meropenem (2 g co 8 godz.).
W jedenastej dobie hospitalizacji w posiewie moczu stwierdzono wzrost bakterii Enterococcus faecalis. Stan pacjentki skonsultowano ze specjalistami szpitalnego oddziału zakażeń – podjęto decyzję o ponownej modyfikacji antybiotykoterapii. Zgodnie z najnowszym antybiogramem włączono do leczenia dożylną ampicylinę (12 g/24 godz.).
Pomimo prowadzonego wielokierunkowego leczenia specjalistycznego w czternastej dobie pobytu na oddziale zaobserwowano nagłe pogorszenie stanu zdrowia chorej. W badaniu przedmiotowym stwierdzono hipotensję mimo adekwatnej płynoterapii. Co więcej, obserwowano narastające obrzęki obwodowe oraz anurię. W kontrolnym badaniach laboratoryjnych uwidoczniono cechy ostrego uszkodzenia nerek oraz ponowny wzrost wartości wykładników stanu zapalnego (tab. 3). W związku z obrazem postępującej niewydolności wielonarządowej pacjentkę konsultowano anestezjologicznie – odstawiono ampicylinę, ponownie wdrożono do leczenia meropenem w dawce dostosowanej do czynności filtracyjnej nerek, włączono wlew ciągły z noradrenaliny, zintensyfikowano leczenie moczopędne oraz zastosowano dożylną suplementację albumin.
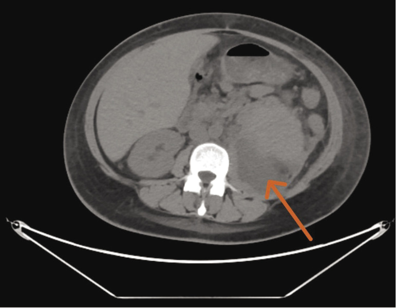
W efekcie działań prowadzonych w osiemnastej dobie leczenia stwierdzono stopniową normalizację parametrów nerkowych. W związku z utrzymującymi się wysokimi wartościami wykładników stanu zapalnego przeprowadzono kontrolną jednofazową TK jamy brzusznej, w której poniżej dolnego bieguna nerki lewej zaobserwowano obszar gęstopłynowy (79 × 68 × 89 mm) wychodzący z powiększonego lewego mięśnia lędźwiowego większego, przylegający do dolnej i przyśrodkowej części nerki (ryc. 5). Pacjentkę ponownie skonsultowano urologicznie i zakwalifikowano do drenażu patologicznego zbiornika płynowego. W wyniku nakłucia obszaru gęstopłynowego uzyskano wypływ 300 ml treści ropnej. W kontrolnej TK przeprowadzonej po drenażu nie stwierdzono obecności patologicznych zbiorników płynowych.
Rycina 5. Obraz jednofazowej tomografii komputerowej – badanie przeprowadzone w osiemnastej dobie hospitalizacji
W trzeciej dobie po zabiegu pacjentka zgłosiła liczne luźne stolce. W badaniu bakteriologicznym kału stwierdzono infekcję Clostridium difficile – doustnie włączono wankomycynę. Uzyskano stopniową normalizację w kwestii wypróżnień.
Pomimo kontynuacji antybiotykoterapii z wykorzystaniem dożylnego meropenemu i doustnej wankomycyny w kolejnych dniach hospitalizacji obserwowano utrzymujące się podwyższone wartości wykładników stanu zapalnego (białko C-reaktywne [CRP – C-reactive protein] 80 mg/l, leukocyty [WBC – white blood cells] 12 000). W kontrolnym USG jamy brzusznej nie dostrzeżono zmian ogniskowych. Podjęto decyzję o ponownej wielofazowej TK jamy brzusznej – w obrazie pojawił się ropień w okolicy lewej nerki. Z powodu całokształtu obrazu klinicznego i braku poprawy mimo leczenia zachowawczego chorą zakwalifikowano do laparoskopowej nefrektomii lewostronnej. W trakcie zabiegu stwierdzono masywny naciek zapalny uniemożliwiający preparatykę narzędziami laparoskopowymi, dlatego zdecydowano o konwersji operacji do zabiegu otwartego. W trakcie preparacji uwidoczniono uszkodzenie ściany żołądka. Poproszono o śródoperacyjną konsultację z zakresu chirurgii ogólnej – miejsce perforacji zszyto szwami pojedynczymi. Usunięto lewą nerkę i przekazano organ do badania histopatologicznego. Pacjentka dobrze zniosła zabieg.
Epidemiologia
Ostre odmiedniczkowe zapalenie nerek w USA występuje rocznie z częstością 15-17 przypadków na 10 000 kobiet oraz 3-4 przypadków na 10 000 mężczyzn1. W dużym badaniu obejmującym ponad 750 000 pacjentów w Szwecji stwierdzono, że niepowikłane zakażenie układu moczowego przechodziło w OOZN w 0,47% przypadków przy zastosowaniu antybiotykoterapii. Ryzyko to wzrastało do 1,43%, gdy nie podjęto antybiotykoterapii w ciągu 5 dni od rozpoznania zapalenia pęcherza moczowego2. Młode, aktywne seksualnie kobiety są najczęściej dotknięte OOZN, co wynika z większej częstości występowania ZUM w tej grupie, u mężczyzn jednak obserwuje się wyższy wskaźnik śmiertelności3.
Patogeneza i etiologia
Bakterie mogą dotrzeć do nerek w dwójnasób: drogą hematogenną lub wstępującą z dolnych dróg moczowych. Szerzenie hematogenne występuje rzadko i zazwyczaj dotyczy pacjentów w ciężkim stanie ogólnym, z niedoborami odporności lub zastojem moczu spowodowanym niedrożnością moczowodu. W tym mechanizmie bakterie dostają się do nerek przez krwiobieg w przebiegu bakteriemii. Zdecydowana większość przypadków OOZN rozwija się jednak na drodze wstępującej infekcji.
Zakażenia układu moczowego występują częściej u kobiet z powodu krótszej cewki moczowej, zmian hormonalnych oraz bliskiego położenia ujścia cewki moczowej względem odbytu. Bakterie E. coli są zdecydowanie najczęstszą przyczyną OOZN oraz większości innych ZUM. Klebsiella pneumoniae zajmuje drugie miejsce pod względem częstości występowania3.



