Rak jelita grubego – postępowanie chirurgiczne w ostrych powikłaniach
dr n. med. Małgorzata Polańska-Płachta
- Obraz kliniczny i rozpoznanie ostrych powikłań raka jelita grubego: niedrożności, perforacji i krwawienia
- Ocena ryzyka okołooperacyjnego u pacjentów z rakiem jelita grubego zgłaszających się w stanach nagłych z powodu krwawienia, niedrożności i perforacji przewodu pokarmowego
- Zastosowanie technik laparoskopowych w leczeniu ostrych powikłań raka jelita grubego
Rak jelita grubego jest główną przyczyną zachorowalności na nowotwory i związanej z nimi śmiertelności na całym świecie. Mimo wprowadzenia programów przesiewowych znaczna część chorych (15-33%) trafia na ostry dyżur z powikłaniami, takimi jak: niedrożność, krwawienie czy perforacja przewodu pokarmowego, które wymagają natychmiastowego działania1. Leczenie w takich sytuacjach ma na celu: zapobieganie natychmiastowym negatywnym skutkom (takim jak śmierć lub sepsa), osiągnięcie jak najlepszej kontroli guza oraz zapewnienie powrotu do stanu umożliwiającego w razie potrzeby rozpoczęcie odpowiedniego leczenia ogólnoustrojowego2-4.
Ostre powikłania raka jelita grubego
Niedrożność jelita grubego
To najczęstsze powikłanie raka jelita grubego – stanowi ono 80% wszystkich przypadków przyjęć na szpitalny oddział ratunkowy (SOR) wśród chorych na ten nowotwór.
Objawy:
- wzdęcie
- ból brzucha
- nudności
- wymioty
- zatrzymanie gazów i stolca
- zaburzenia oddychania spowodowane uniesieniem przepony.
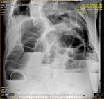
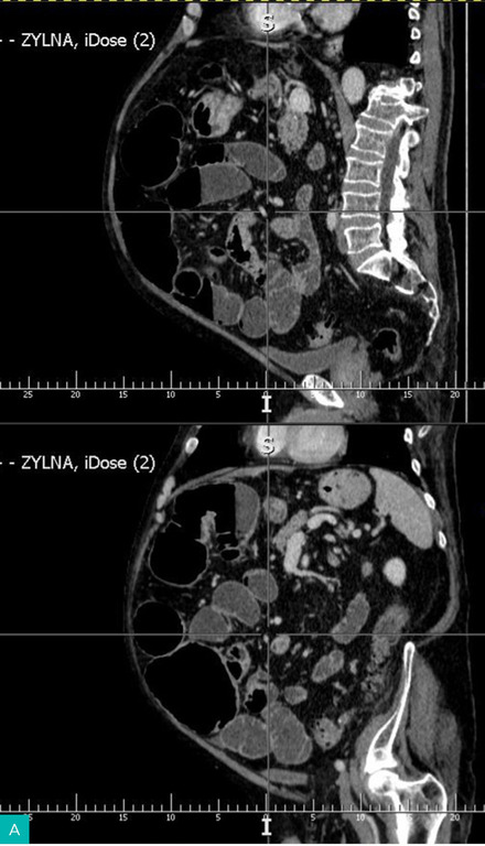
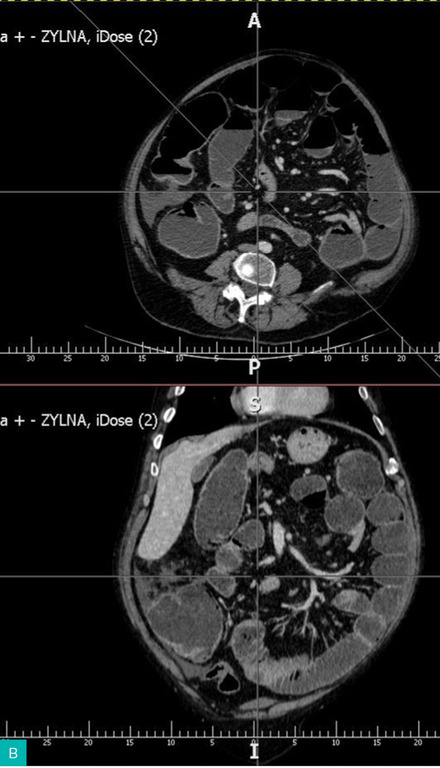
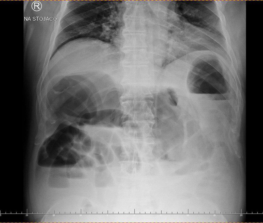
Diagnostyka: Wykonuje się przeglądowe zdjęcie RTG jamy brzusznej w celu potwierdzenia niedrożności (ryc. 1 i 2) i/lub tomografię komputerową (TK) ujawniającą rozdęte pętle jelit powyżej guza (ryc. 3).
Perforacja jelita grubego
Stanowi drugą co do częstości przyczynę przyjęć na SOR z powodu raka jelita grubego.
Może występować:
- w obrębie nowotworu (70% przypadków)
- proksymalnie do nowotworu (30% przypadków) – najczęściej w obrębie kątnicy lub uchyłku w jelicie grubym.
Objawy:




