IV edycja Kongresu HPV już 12-13 czerwca! Poznaj najnowsze trendy w profilaktyce, diagnostyce i leczeniu raka szyjki macicy i innych schorzeń związanych z HPV | Sprawdź >
- nagły silny ból brzucha
- objawy zapalenia otrzewnej
- objawy wstrząsu septycznego.
Diagnostyka: TK jamy brzusznej jest najczęściej stosowaną metodą diagnostyczną ujawniającą obecność powietrza w jamie brzusznej oraz guz nowotworowy.
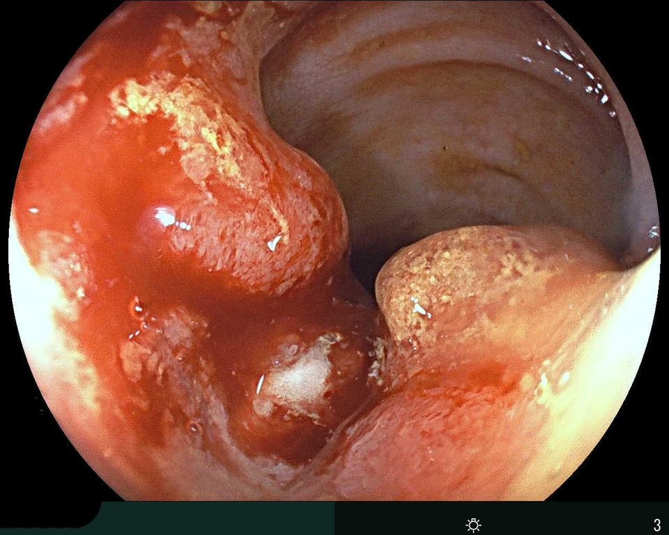
Krwawienie z nowotworowego guza jelita grubego
Rodzaje krwawienia:
- ostre – widoczne krwawienie
- przewlekłe – powolne krwawienie prowadzące do niedokrwistości.
Objawy:
- krwista biegunka
- kurczowe bóle brzucha wtórne do prokinetycznego działania krwi.
Diagnostyka: Kolonoskopia jest kluczowym narzędziem w ocenie przyczyny krwawienia, a wynik tego badania stanowi podstawę podjęcia potencjalnej interwencji (ryc. 4).
W ostrych krwotokach postępowaniem z wyboru w pierwszej kolejności jest leczenie endoskopowe. Postępowaniem w kolejnym rzucie są embolizacja i leczenie operacyjne.
Postępowanie chirurgiczne w niedrożności jelita grubego
W wyjątkowych przypadkach, szczególnie u pacjentów niestabilnych hemodynamicznie, możliwe jest zastosowanie wstępnego leczenia zachowawczego. Należy jednak podkreślić, że przynosi to krótkotrwałe efekty.
Leczenie klasyczne
- Resekcja z zespoleniem pierwotnym – odcinkowa resekcja esicy, hemikolektomia lewostronna, hemikolektomia prawostronna, niska przednia resekcja, operacja brzuszno-kroczowa
- Resekcja z wyłonieniem stomii, np. operacja Hartmanna, samo wyłonienie stomii bez resekcji
- Zespolenia omijające.
Leczenie laparoskopowe
Jest to metoda małoinwazyjna, która niesie ze sobą wiele korzyści dla pacjenta, takich jak:
- szybsza rekonwalescencja
- mniejsze ryzyko powikłań
- krótszy czas hospitalizacji5.
Wybór podejścia powinien być zindywidualizowany w zależności od: stopnia zaawansowania guza, stabilności pacjenta i jego potencjalnej tolerancji insuflacji jamy otrzewnej, biologicznego wieku chorego i umiejętności dyżurnego chirurga. Na podstawie tych czynników można podzielić chorych na 3 grupy:
- pacjentów, którzy są pierwotnie kwalifikowani do leczenia paliatywnego – wyłonienia stomii lub założenia stentu
- pacjentów, którzy skorzystaliby z odbarczenia niedrożności (dekompresji) jako pomostu do ostatecznej operacji
- pacjentów, którzy od przyjęcia (pierwotnie) wymagają operacji resekcyjnej.
U chorych z pierwszej grupy należy wyłonić stomię klasycznie, laparoskopowo lub odbarczyć niedrożność poprzez założenie samorozprężalnego stentu do jelita grubego. Stentowanie w grupie pacjentów leczonych paliatywnie wydaje się preferowanym wyborem ze względu na krótszy czas pobytu w szpitalu oraz lepszy komfort życia. U osób z rakiem odbytnicy powodującym niedrożność wyłonienie stomii jest metodą z wyboru, gdyż założenie stentu w tych wypadkach jest przeciwwskazane. U chorych z guzem zlokalizowanym po prawej stronie, szczególnie ze zmianami przy zastawce krętniczo-kątniczej, zalecana jest resekcja pierwotna lub jedynie wyłonienie jejunostomii, jeśli stan pacjenta jest ciężki.
